Hiện nay, chụp X-quang đóng vai trò rất quan trọng trong việc chẩn đoán và điều trị bệnh. Phương pháp này hỗ trợ bác sĩ quan sát bên trong cơ thể người bệnh mà không cần phải mổ. Bài viết dưới đây sẽ giúp chúng ta có thêm những hiểu biết đầy đủ nhất về chụp X-quang.

X-quang là một loại bức xạ năng lượng cao. Máy chụp X-quang phát ra các chùm tia X có bức xạ cao, các tia X này xuyên qua các mô mềm và thành phần dịch trong cơ thể dễ dàng, từ đó tạo hình ảnh, các bác sĩ sẽ dựa vào hình ảnh này để chẩn đoán bệnh.
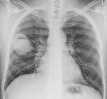
Các mô đặc như xương sẽ cản trở tia X nhiều. Mô có độ đậm đặc cao thì càng ít tia X xuyên qua.
Không khí và nước cho độ đậm thấp hơn vì các phân tử cấu thành liên kết không chặt chẽ, tia X dễ dàng xuyên qua.
Việc thực hiện chụp X-quang là chỉ định cần thiết trong chẩn đoán nhiều bệnh, đặc biệt là các bệnh liên quan đến xương khớp, hô hấp, tim mạch.
Người cần chụp sẽ được kỹ thuật viên yêu cầu nằm, ngồi, hoặc đứng theo một vài tư thế để chụp X-quang, có thể phải nín thở khi thực hiện kỹ thuật chụp X-quang phổi để hình ảnh ghi lại được rõ nét nhất có thể.
Phim X-quang hoặc bộ phận ghi nhận hình ảnh sẽ được đặt phía sau bộ phận cơ thể cần chụp, tia X sau khi đi qua các bộ phận đó một phần sẽ được giữ lại, phần đi qua sẽ được ghi lại để tạo hình ảnh.
Hình ghi lại được càng đen nếu có càng nhiều tia X được chiếu đến phim. Vì vậy những bộ phận cơ thể cản nhiều tia X thì sẽ cho hình trắng, trong khi những bộ phận cơ thể rỗng hoặc đầy khí như phổi thì sẽ cho hình đen. Hình ảnh ghi lại được tại các mô mềm như cơ hoặc các tạng đặc trong cơ thể sẽ có màu xám, độ xám phụ thuộc vào đậm độ của chúng.
Kỹ thuật chụp X-quang cần được thực hiện trong điều kiện an toàn, đảm bảo và đủ tiêu chuẩn. Các bác sĩ chẩn đoán hình ảnh sẽ phân tích hình ảnh và gửi kết quả đến bác sĩ đã chỉ định chụp X-quang.
Chụp X-quang biết bệnh gì là yếu tố quan trọng bác sĩ sẽ cân nhắc để lựa chọn kỹ thuật này trong chẩn đoán bệnh. Chụp X-quang được chỉ định trong các trường hợp

Thường thì hầu như không cần chuẩn bị gì trước khi thực hiện kỹ thuật chụp X-quang. Chỉ có một số lưu ý nhỏ giúp cho quá trình chụp X-quang diễn ra thuận lợi như sau:
Chụp X-quang là một phương pháp chẩn đoán hình ảnh được dùng phổ biến hiện nay với thời gian thực hiện nhanh chóng và chi phí tương đối thấp. Đây là phương pháp cần thiết để chẩn đoán, tuy nhiên X-quang vẫn còn tồn tại một số hạn chế và nguy cơ khác. Chính vì vậy, cần tham khảo kỹ trước khi quyết định thực hiện chụp X-quang.
Kỹ thuật chụp X-quang cũng như nhiều kỹ thuật phục vụ khám chữa bệnh khác tại Bệnh viện Đa khoa Quốc tế Vinmec được tiến hành bởi đội ngũ y bác sĩ chuyên môn cao, giàu kinh nghiệm; hệ thống máy móc tiên tiến, hiện đại nên giảm được đáng kể liều bức xạ với hình ảnh tốt nhất và luôn được cập nhật theo tiến bộ y khoa trên thế giới; đặc biệt chất lượng dịch vụ chuyên nghiệp sẽ giúp khách hàng có trải nghiệm thoải mái và an tâm nhất khi thăm khám tại Vinmec.
Để được tư vấn trực tiếp, Quý Khách vui lòng bấm số HOTLINE hoặc đăng ký lịch trực tuyến TẠI ĐÂY. để đặt lịch nhanh hơn, theo dõi lịch tiện lợi hơn!